
Javier Turpo Huarecallo, padre de familia y soldador independiente, hizo un llamado profundamente conmovedor a la solidaridad de la población puneña, autoridades regionales, congresistas y personas de buen corazón, con el fin de salvar y mejorar la calidad de vida de su hija menor, J.T.C., de 13 años. La adolescente necesita una operación altamente especializada de reconstrucción en España, cuyo costo supera los 50,000 euros, monto imposible de cubrir para la familia.
La tragedia que marcó a los Turpo Calsina ocurrió el viernes 19 de junio de 2020, en plena pandemia, en la carretera Juliaca–Pucará. La madre, Vilma Calsina, y su pequeña hija se trasladaban en una motocicleta para recoger alimentos cuando fueron embestidas por una furgoneta de la empresa JATSA que invadió su carril. Minutos después, un segundo vehículo pasó por encima de la menor, causándole daños severos, especialmente en la zona pélvica y órganos internos. En ese momento, la niña tenía solo 8 años.
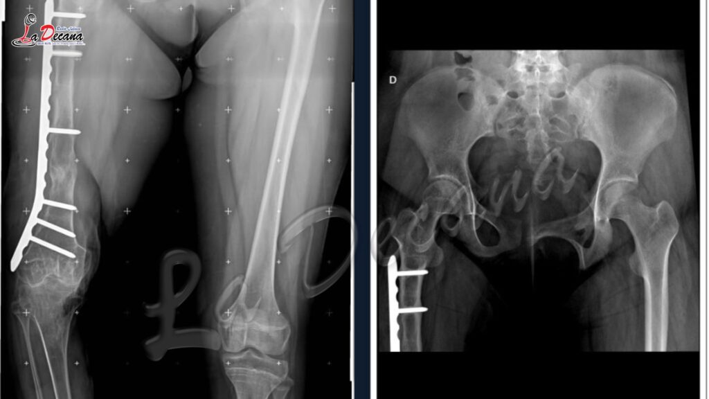
Desde entonces, la familia ha atravesado una verdadera odisea. La menor fue trasladada a Lima, donde se le practicaron 26 cirugías en un esfuerzo por reconstruir los graves daños que sufrió. Sin embargo, pese a la intervención de diversos especialistas, las secuelas persisten y su salud continúa deteriorándose.

Ante la falta de una solución definitiva en el país, Turpo Huarecallo logró contactar a especialistas en una clínica privada de Madrid, España, quienes evaluaron el caso y confirmaron que existe una alta probabilidad de éxito en una intervención reconstructiva compleja, además de una segunda cirugía necesaria en la pierna derecha.
Para hacer realidad este tratamiento, la familia necesita reunir más de 50,000 euros, monto que cubre el viaje, la hospitalización y los honorarios médicos. La clínica ha solicitado que la familia deposite el 80 % del costo total para programar la intervención.
La salud de la adolescente se encuentra en riesgo. Según relata su padre, en los últimos meses ha sufrido infecciones urinarias constantes, dolores severos y complicaciones en su sistema digestivo debido al consumo prolongado de medicación. A ello se suma la necesidad urgente de reconstrucción ósea y ligamentaria, pues en su pierna derecha se le tuvieron que retirar 10 centímetros de hueso por infección; posteriormente se le realizó un alargamiento de 5 centímetros, pero aún requiere una intervención definitiva.

En medio de esta situación, Javier Turpo pidió el apoyo de autoridades, empresarios y personalidades públicas, entre ellas la cantante Yarita Lizeth Yanarico, para unirse a esta causa.
“Lo único que quiero es que mi hija pueda vivir sin dolor”, expresó visiblemente afectado.
Para quienes deseen colaborar, se ha habilitado el siguiente medio de apoyo:
Donaciones:
Yape: 901890132 a nombre de: Vilma Calsina (madre de la menor)
Toda ayuda, por pequeña que sea, acerca a J.T.C. a la posibilidad de una vida digna, plena y sin sufrimiento.
